< Pathology
[[
[[
Navigation
Main Page | Introduction in Pathology | Adjustment Reactions | Cell and Tissue Damage | Exogenic Noxa
Procedures of Tissue Preparation | Glossary | Resources |
The tissues of the body react dynamically on changes in the environment, on metabolic and mechanical stress as well as on the current internal conditions. By means of the morphologic and etiologic characteristics we can distinguish different forms of adaption.
- Hypertrophy: Increase in organ size/tissue mass by increase in cell size.
- compensating - e.g. myocardial hypertrophy in hypertonia.
- by activity - hypertrophy of the muscles in athletes.
- endocrine - e.g. through anabole steroids.
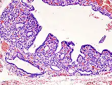
- Hyperplasia: Increase in organ size/tissue mass by increase in cell count.
- through regeneration - increase in skin thickness of the palms through hard working.
- endocrine - e.g. hyperplasia of the adrenal glands in CRH/ACTH-producing tumour.
- Atrophy: Decrease in organ size/tissue mass by decrease in cell size and/or in cell count.
- Involution - normal atrophy, e.g. thymus in adults, uterus in the older woman.
- Inaktivity - e.g. in paresis.
- Aging - involution + Inaktivity, e.g.: Osteoporosis.
- Hunger - deprivation of protein and other nutrients
- Vascular Atrophy - e.g. skin atrophy in diabetic foot or chronic arterial occlusion.
- Pressure - e.g. bone reduction near an pulsating aneurysm .
- Metaplasia: e.g. Barret-Esophagus in chronic reflux, bronchial squamous epithelium metaplasia through smoking.
![]() Bodybuilder Markus Rühl exhibits hypertrophy of skeletal muscles. |
![]() Hyperplasia of the thyorid follicles in hyperthyroidism, H&E staining. |
Navigation
Main Page | Introduction in Pathology | Adjustment Reactions | Cell and Tissue Damage | Exogenic Noxa
Procedures of Tissue Preparation | Glossary | Resources |
This article is issued from Wikibooks. The text is licensed under Creative Commons - Attribution - Sharealike. Additional terms may apply for the media files.

.jpg.webp)