< Radiation Oncology < Ovary
|
Ovarian Cancer Overview
Epidemiology
- Median age 60's, peak incidence 80's
- 22K cases per year in US; 4th most common cancer in women
- 14K deaths per year in US; 5th most common cause of cancer death in women
Risk factors
- Genetics
- One first-degree relative: 4-5% lifetime risk
- Two first-degree relatives: 25-50% lifetime risk
- BRCA1/BRCA2
- HNPCC
- Hormone exposure: nulliparity, early menarche, late menopause, hormone replacement
- Ovarian trauma, including multiple cycles of ovulation
- Environmental: endometriosis, obesity, smoking, diet
Screening
- Prostate, Lung, Colorectal, and Ovarian Screening Trial (1993-2001)
- Randomized. 34,261 women in the screening arm. General population, age 55-74. Transvaginal ultrasound and CA-125. Screening compliance 83% to 78%
- 2009 PMID 19305319 -- "Results from four rounds of ovarian cancer screening in a randomized trial." (Partridge E, Obstet Gynecol. 2009 Apr;113(4):775-82.)
- Outcome: Data from first 4 annual screens. Positive screen ~5% (about 2/3 TVU and 1/3 CA-125). Ratio of surgery to cancer detection 20:1. Overall yield ~5/10,000 screened. Majority (72%) late stage.
- Conclusion: Ratio of surgeries to screen-detected cancers high, and most were late stage
Presentation
- Generally present with ill-defined symptoms and diagnosis may be delayed
- Abdominal pain, nausea, anorexia, early satiety or constipation.
- Irregular vaginal bleeding
- Dyspareunia
- Urinary symptoms
- Palpable adnexal mass
- Pre-menopausal: 5% risk of malignancy
- Post-menopausal: 30-60% risk of malignancy
- Paraneoplastic presentation (rare):
- Leser-Trelat Sign – Sudden multiple seborrheic keratoses
- Trousseau’s Syn – Migratory thrombophlebitis
- Hormonal effects – Germ Cell Tumors
- Precocious puberty, amenorrhea, virilization
- Meigs' syndrome - Ascites, an ovarian tumor, and right-sided pleural effusion
- 80% have spread beyond the ovary at presentation.
Anatomy
- Located in lateral pelvis, beneath external illiac artery and in front of internal illiac artery
- Attached to the uterus by ovarian ligament and the body wall by suspensory ligament; within the broad ligament
- There are 3 major tissue types in the ovary, which give rise to different types of tumors:
- Surface: covered by ovarian epithelium
- Stroma:
- Soft tissue consisting of spindle-shaped cells (regarded by some anatomists as unstiped muscle cells and others as connective-tissue cells)
- On the surface of the ovary, this tissue is much condensed, and forms a layer (tunica albuginea) composed of short connective-tissue fibers, with fusiform cells between them
- Follicle:
- Single oocyte
- Granulosa cells surround the oocyte and respond to FSH and LH
- Theca is the surrounding protective layer
Work Up
- Transvaginal ultrasonography (TVU) is more sensitive compared to CT
- Classic TVU finding is a “complex” cyst, defined as containing both solid and cystic components
- "Simple" cyst, defined as having thin walls, fluid-filled, without a mass component, septations, or internal echogenicity is frequently benign but workup must be individualized
- Percutaneous biopsy should be avoided due to risk of cyst rupture and seeding into peritoneal cavity
- Surgery
- Exploratory laparotomy perfomed to 1) confirm pathology, 2) stage patient, and 3) perform maximum cyto-reduction (residual disease <1cm)
- Should be performed by a GYN Oncologist
- Ascites or peritoneal washings
- Inspection of serosal surfaces with biopsy of any suspicious lesions
- Inspect stomach, small bowel, large bowel, peritoneum, mesentery, and solid organs
- TAH/BSO
- Infracolic omentectomy
- Pelvic and paraortic LN sampling
- Peritoneal biopsies
- Pelvic cul-de-sac biopsy
- Bladder
- Bil Sidewalls
- Bil Paracolic gutters
- Diaphragm
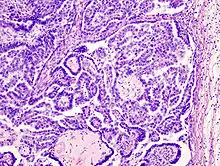
Pathology

.jpg.webp)
- Epithelial tumors - most common, 65%
- Serous tumors: 25% of ovarian tumors, 40% of epithelial tumors
- Benign (60%): Serous cystadenoma, cystadenofibroma
- Borderline (15%): Serous borderline tumors, microinvasive serous carcinoma
- Malignant (25%): Serous cystadenocarcinoma, serous carcinoma, serous micropapillary carcinoma, serous psammomacarcinoma
- Mucinous tumors: 15% of ovarian tumors, 25% of epithelial tumors
- Benign (80%): Mucinous cystadenoma, mucinous adenofibroma
- Borderline (10%): Mucinous borderline tumors, microinvasive mucinous carcinoma
- Malignant (10%): Mucinous cystadenocarcinoma, mucinous carcinoma
- Endometrioid tumors: 20% of ovarian tumors, 35% of epithelial tumors
- Benign: Endometrioid cystadenoma, endometrioid adenofibroma
- Borderline: Endometrioid borderline tumors
- Malignant (Majority): Endometrioid carcinoma
- Brenner tumors (benign, borderline, or malignant) - composed of urothelial-like cells
- Other: Clear cell adenocarcinoma, urothelial carcinoma (transitional cell), mixed epithelial-papillary cystadenoma of borderline malignancy of mullerian type
- Serous tumors: 25% of ovarian tumors, 40% of epithelial tumors
- Sex cord - stromal tumors - 8%
- Stromal cells: fibroblasts, theca cells, Leydig cells
- Primitive sex cords: granulosa cells, Sertoli cells
- Are hormonally active. Affect all age groups. 70% are Stage I at diagnosis (unlike epithelial tumors which are usually Stage III-IV).
- Germ cell tumors - 15%
- Benign: mature teratoma
- Malignant: 90% of malignant tumors are epithelial: dysgerminoma, immature teratoma, yolk sac tumor (endodermal sinus tumor), embryonal carcinoma
- Note: Borderline tumors (tumors of Low Malignant Potential; LMP) have absence of stromal invasion
Epithelial Ovarian Cancer
- Please see the epithelial ovarian cancer page
Sex cord-stromal tumors
- Granulosa cell tumors
- About 5% of malignant ovarian tumors. The most common malignant sex cord-stromal tumor
- More common in post-menopausal women
- Present with vaginal bleeding (due to hormone)
- May be associated with endometrial hyperplasia, endometrial polyps, or endometrial carcinoma
- Most patients have an excellent prognosis, 90% 10-year survival
- May have late recurrence, 10-20 years after treatment
- Fibroma, Fibrothecoma, and Thecoma
- 4% of ovarian tumors
- These 3 tumors form a spectrum of benign tumors
- Occur in pre- and post-menopausal women
- Fibroma is most common sex cord tumor
- Thecomas are active (as compared to fibromas) and can have estrogenic activity
- Sertoli-Leydig cell tumor
- Very rare (<0.5% of ovarian tumors)
- Young women
- Symptoms are related to virilizing hormones
- Most behave in a benign fashion but can act malignant
- Recur relatively soon after treatment
- Treatment approach includes surgery, and adjuvant platinum-based chemotherapy for high risk Stage I and Stage II-IV
Germ cell tumors
- 30% of ovarian tumors, but only 1-3% of malignant ovarian tumors
- More common in younger women and also more likely to be malignant (up to 1/3)
- Symptoms
- Due to rapid growth of tumor, resulting in stretching of the ovarian capsule; leads to early diagnosis
- Abdominal pain, distension, pelvic fullness, and urinary symptoms
- Histology:
- Dysgerminoma (counterpart to seminoma)
- Nondysgerminoma
- Serum levels
- Endodermal sinus tumor (yolk sac tumor): AFP elevated
- Embryonal carcinoma: AFP and bHCG elevated
- Choriocarcinoma: bHCG elevated
- Pure immature teratoma: normal AFP and bHCG; though AFP may be elevated in 30%
- Mature cystic teratoma (dermoid cyst): normal AFP and bHCG
- Most common malignant germ cell tumor is dysgerminoma which occur most commonly in adolescence
- Stage I 60-70%
- Surgery: Principles of management similar to epithelial ovarian CA, except fertility can be preserved with ipsilateral salpingo-oopherectomy
- Adjuvant chemotherapy:
- Adjuvant BEP for 3-4 cycles
- Stage I disgerminoma can be observed (DeVita, 8th ed.) if fertility preservation is important, with 15-20% recurrence rate. Salvage with chemotherapy is high
- Role for RT limited, due to excellent chemo responsiveness and impact on fertility
This article is issued from Wikibooks. The text is licensed under Creative Commons - Attribution - Sharealike. Additional terms may apply for the media files.